본문 바로가기 사이드메뉴 바로가기 주메뉴 바로가기

미디어센터

A multimedia mosaic of moments at GIST

GIST Excellence

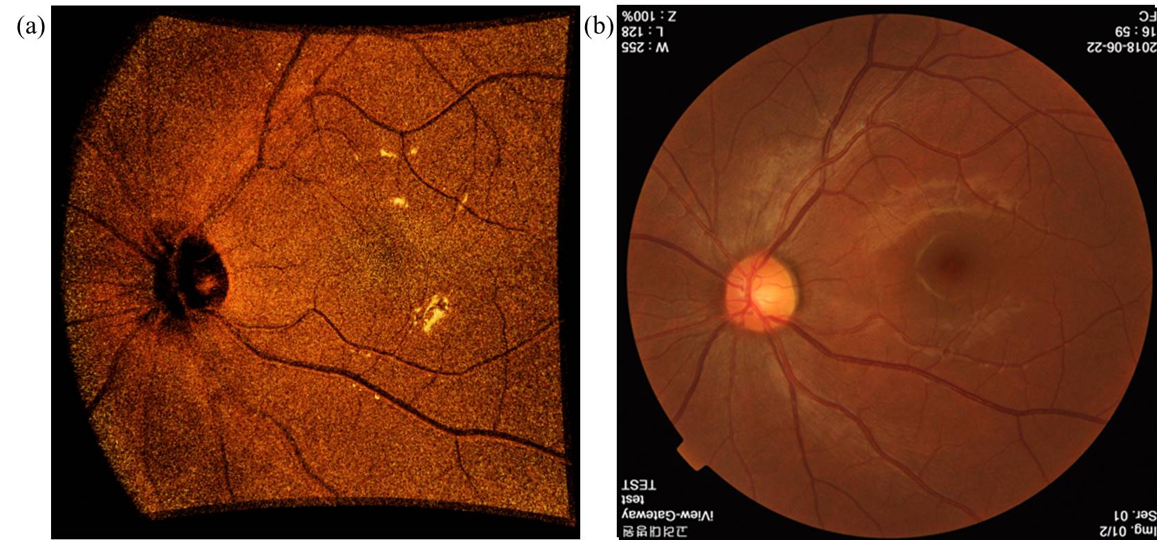
고등광기술연구소 엄태중 연구원 공동연구팀, 망막의 구조를 보여주는 광의료기기 핵심 레이저 기술 개발

  • 대외협력팀
  • 등록일 : 2018.12.19
  • 조회수 : 1464